Mr_cxr.jpg (83072 bytes)

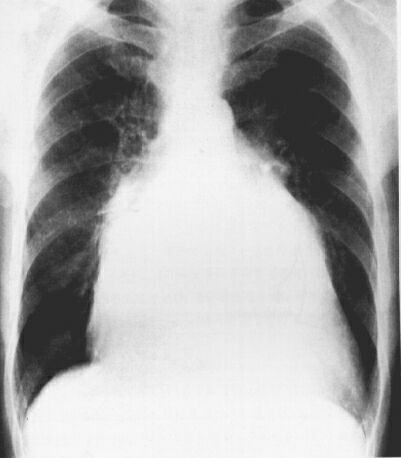
   Рентгенограмма б-го Т.

   Митральная конфигурация сердца, 2 вариант: признаки увеличения левого предсердия и желудочка.

 

 

  Обратно