Ms_cxr.jpg (99194 bytes)

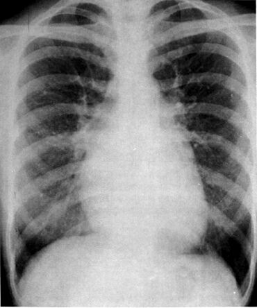
      Рентгенограмма больного С.

Митральная конфигурация 1 типа: увеличение левого предсердия и правого желудочка. Признаки легочной гипертензии.

 

    Обратно