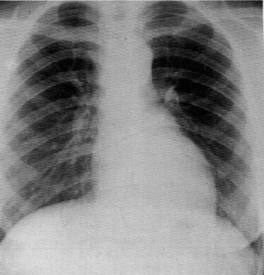
as_cxr.jpg (21481 bytes)    Рентгенограмма б-го Р

    Дуга аорты приподнята до 1 межреберья, признаки систолической гипертрофии левого желудочка.

 

 

    Обратно