Pda_cxr.jpg (97822 bytes)

 

 

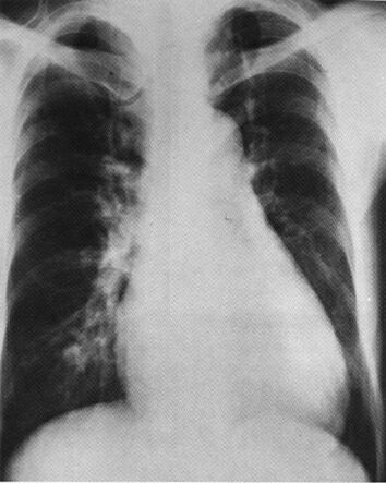
   На рентгенограмме видны признаки увеличения левого и правого желудочков, признаки легочной гипертензии.

 

    Обратно