Эхокардиография сердца
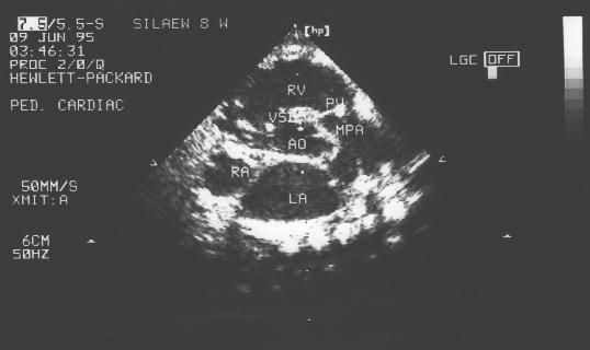
Двухмерная эхо (а,в,с): признаки незаращения межжелудочковой перегородки, смещения аорты вправо и сужения устья легочной артерии.
а)

b)

с)

Доплер-эхо: турбулентный поток через дефект межжелудочковой перегородки.

Посмотрите эхо- допплер- кардиограмму больной.